扫码关注公众号           扫码咨询技术支持           扫码咨询技术服务
  
客服热线:400-901-9800  客服QQ:4009019800  技术答疑  技术支持  质量反馈  人才招聘  关于我们  联系我们
产品中心-北京博奥森生物技术有限公司
首页 > 产品中心 > 一抗 > 产品信息
Musashi 1 Recombinant Rabbit mAb (bsm-61142R)  
订购热线:400-901-9800
订购邮箱:sales@bioss.com.cn
订购QQ:  400-901-9800
技术支持:techsupport@bioss.com.cn
25ul/800.00元
50ul/1400.00元
100ul/2500.00元
大包装/询价

产品编号 bsm-61142R
英文名称 Musashi 1 Recombinant Rabbit mAb
中文名称 神经干细胞RNA结合蛋白Musashi1重组兔单抗
别    名 Msi1h; Musahi1; m-Msi-1; MSI1H_HUMAN; MSI1; Musashi-1; MSI1H_MOUSE; MSI1H_RAT;   
抗体来源 Rabbit
克隆类型 Recombinant
克 隆 号 17A15
交叉反应 Human
产品应用 WB=1:500-2000,IHC-P=1:100-500,IHC-F=1:100-500,IF=1:100-500,Flow-Cyt=1:50-100,ICC/IF=1:50-200,IP=1:20-50
not yet tested in other applications.
optimal dilutions/concentrations should be determined by the end user.
理论分子量 39 kDa
检测分子量 40
性    状 Liquid
免 疫 原 A synthesized peptide derived from human Musashi 1: 1-52/362 
亚    型 IgG
纯化方法 affinity purified by Protein A
缓 冲 液 10mM phosphate buffered saline(pH 7.4) with 150mM sodium chloride, 0.05% BSA, 0.02% Proclin300 and 50% glycerol.
保存条件 Store at 4℃ for short term. Store at -20℃ for long term. Avoid repeated freeze/thaw cycles.
注意事项 This product as supplied is intended for research use only, not for use in human, therapeutic or diagnostic applications.
PubMed PubMed
产品介绍 RNA binding protein that regulates the expression of target mRNAs at the translation level. Regulates expression of the NOTCH1 antagonist NUMB. Binds RNA containing the sequence 5'-GUUAGUUAGUUAGUU-3' and other sequences containing the pattern 5'-[GA]U(1-3)AGU-3'. May play a role in the proliferation and maintenance of stem cells in the central nervous system.

SWISS:
O43347

Gene ID:
4440

Musashi1是一种进化保守的RNA结合蛋白,在维持干细胞状态、分化和肿瘤发生方面起着重要作用。Musashi1 选择性地表达在神经前体细胞上,包括神经干细胞上。在神经系统外,Musashi1还是肠干细胞的选择性标记。这些组织干细胞或未成熟细胞Musashi1的表达,表明Musashi1在转录后基因调节阶段维持这些细胞未分化状态起重要作用。Musashi1过度表达通过依赖RBP2Jk的旁路激活Notch1,而Notch信号途径功能为诱导哺乳动物神经干细胞自我更新。通过musashi1-P-小鼠培养脑细胞
产品图片
25 ug total protein per lane of various lysates (see on figure) probed with Musashi 1 monoclonal antibody, unconjugated (bsm-61142R) at 1:1000 dilution and 4°C overnight incubation. Followed by conjugated secondary antibody incubation at r.t. for 60 min.
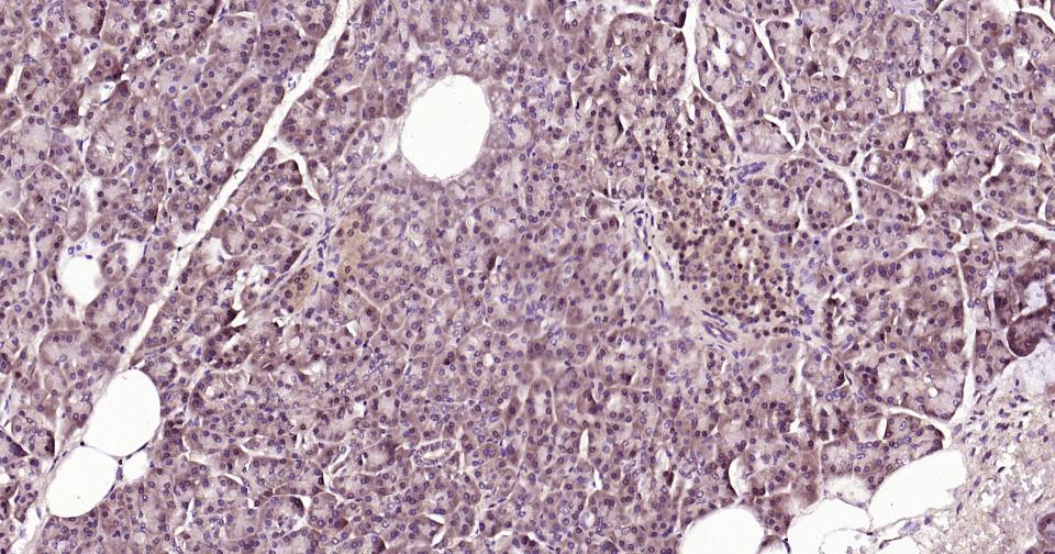
Paraformaldehyde-fixed, paraffin embedded Human Pancreas; Antigen retrieval by boiling in sodium citrate buffer (pH6.0) for 15 min; Antibody incubation with Musashi 1  Monoclonal Antibody, Unconjugated(bsm-61142R) at 1:200 overnight at 4°C, followed by conjugation to the bs-0295G-HRP and DAB (C-0010) staining.
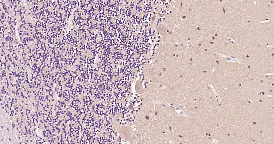
Paraformaldehyde-fixed, paraffin embedded Human Cerebellum; Antigen retrieval by boiling in sodium citrate buffer (pH6.0) for 15 min; Antibody incubation with Musashi 1  Monoclonal Antibody, Unconjugated(bsm-61142R) at 1:200 overnight at 4°C, followed by conjugation to the bs-0295G-HRP and DAB (C-0010) staining.
4% Paraformaldehyde-fixed SH-SY5Y (H) cell; Triton X-100 at r.t. for 20 min; Antibody incubation with (Musashi 1) monoclonal Antibody, unconjugated (bsm-61142R) 1:100, 90 min at 37°C; followed by conjugated Goat Anti-Rabbit IgG antibody (green, bs-60295G-BF488) at 37°C for 90 min, DAPI (blue, C02-04002) was used to stain the cell nuclei. PBS instead of the primary antibody was used as the blank control.
The SH-SY5Y(H) cells were fixed with 4% PFA (10 min at r.t.) and then permeabilized with 90% ice-cold methanol for 20 min at -20℃,the cells then were incubated in 5%BSA to block non-specific protein-protein interactions (30 min at r.t.), followed by secondary antibody incubation for 40 min at room temperature.Primary Antibody (green):Rabbit Anti-Musashi 1 antibody (bsm-61142R,1:100); Isotype Control (orange): Rabbit IgG (bs-0295P). Blank control (black): PBS. Acquisition of 20,000 events was performed.
版权所有 2004-2026 www.bioss.com.cn 北京博奥森生物技术有限公司
通过国际质量管理体系ISO 9001:2015 GB/T 19001-2016    证书编号: 00124Q34771R2M/1100
通过国际医疗器械-质量管理体系ISO 13485:2016 GB/T 42061-2022     证书编号: CQC24QY20047R0M/1100
京ICP备05066980号-1         京公网安备110107000727号