扫码关注公众号           扫码咨询技术支持           扫码咨询技术服务
  
客服热线:400-901-9800  客服QQ:4009019800  技术答疑  技术支持  质量反馈  人才招聘  关于我们  联系我们
产品中心-北京博奥森生物技术有限公司
首页 > 产品中心 > 一抗 > 产品信息
CD11c Recombinant Rabbit mAb (bsm-61135R)  
订购热线:400-901-9800
订购邮箱:sales@bioss.com.cn
订购QQ:  400-901-9800
技术支持:techsupport@bioss.com.cn
25ul/800.00元
50ul/1400.00元
100ul/2500.00元
大包装/询价

产品编号 bsm-61135R
英文名称 CD11c Recombinant Rabbit mAb
中文名称 整合素αX重组兔单抗
别    名 CD11C; SLEB6; Cr4; N418; RGD1561123; ITAX_HUMAN; ITGAX; CD11 antigen-like family member C; Leu M5; Leukocyte adhesion glycoprotein p150,95 alpha chain; Leukocyte adhesion receptor p150,95; ITAX_MOUSE;  
抗体来源 Rabbit
克隆类型 Recombinant
克 隆 号 C9E2
交叉反应 Human
产品应用 WB=1:500-2000,IHC-P=1:200-800,IHC-F=1:200-800,IF=1:200-800,Flow-Cyt=1ug/Test,ICC/IF=1:100-200,IP=1:20-50
not yet tested in other applications.
optimal dilutions/concentrations should be determined by the end user.
理论分子量 128 kDa
检测分子量 145
性    状 Liquid
免 疫 原 A synthesized peptide derived from human CD11c: 1100-1163 
亚    型 IgG
纯化方法 affinity purified by Protein A
缓 冲 液 10mM phosphate buffered saline(pH 7.4) with 150mM sodium chloride, 0.05% BSA, 0.02% Proclin300 and 50% glycerol.
保存条件 Store at 4℃ for short term. Store at -20℃ for long term. Avoid repeated freeze/thaw cycles.
注意事项 This product as supplied is intended for research use only, not for use in human, therapeutic or diagnostic applications.
PubMed PubMed
产品介绍 Integrin ITGAL/ITGB2 is a receptor for ICAM1, ICAM2, ICAM3 and ICAM4. Integrin ITGAL/ITGB2 is a receptor for F11R. Integrin ITGAL/ITGB2 is a receptor for the secreted form of ubiquitin-like protein ISG15; the interaction is mediated by ITGAL.

SWISS:
P20702

Gene ID:
3687

产品图片
THP-1 (H) cells were treated with or without PMA (50 ng/mL) for 72 h, 25 μg total protein per lane of cell lysates (see on figure) probed with CD11c monoclonal antibody, unconjugated (bsm-61135R) at 1:1000 dilution and 4°C overnight incubation. Followed by conjugated secondary antibody incubation at r.t. for 60 min.
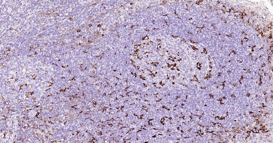
Paraformaldehyde-fixed, paraffin embedded Human Tonsil; Antigen retrieval by boiling in sodium citrate buffer (pH6.0) for 15 min; Antibody incubation with CD11c Monoclonal Antibody, Unconjugated(bsm-61135R) at 1:200 overnight at 4°C, followed by conjugation to the bs-0295G-HRP and DAB (C-0010) staining.
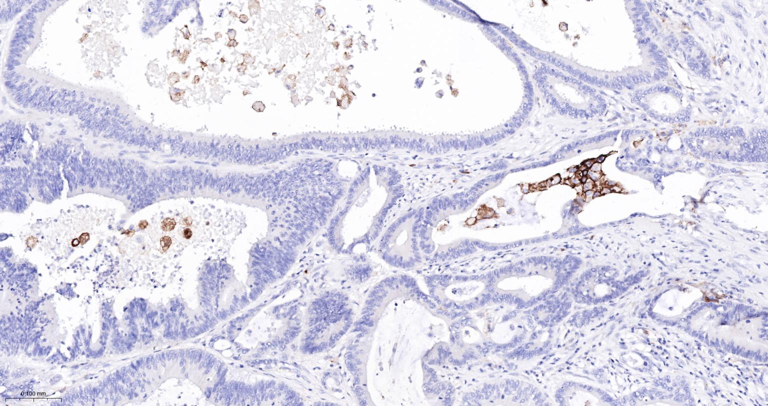
Paraformaldehyde-fixed, paraffin embedded Human Colon Cancer; Antigen retrieval by boiling in sodium citrate buffer (pH6.0) for 15 min; Antibody incubation with CD11c Monoclonal Antibody, Unconjugated(bsm-61135R) at 1:200 overnight at 4°C, followed by conjugation to the bs-0295G-HRP and DAB (C-0010) staining.
Paraformaldehyde-fixed, paraffin embedded Human Spleen; Antigen retrieval by boiling in sodium citrate buffer (pH6.0) for 15 min; Antibody incubation with CD11c Monoclonal Antibody, Unconjugated(bsm-61135R) at 1:200 overnight at 4°C, followed by conjugation to the bs-0295G-HRP and DAB (C-0010) staining.
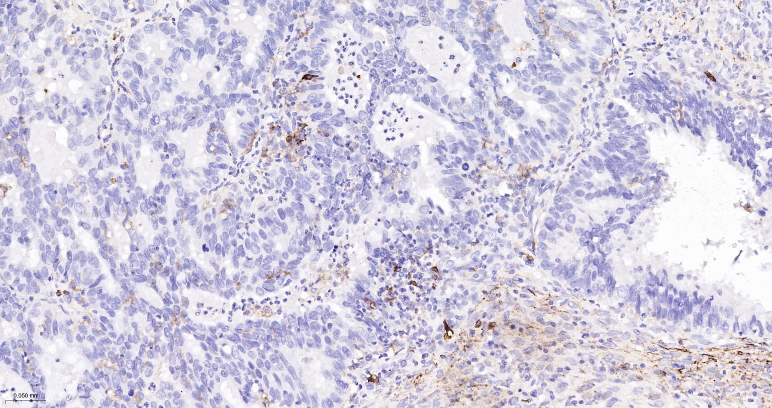
Paraformaldehyde-fixed, paraffin embedded Human Ovarain Cancer; Antigen retrieval by boiling in sodium citrate buffer (pH6.0) for 15 min; Antibody incubation with CD11c Monoclonal Antibody, Unconjugated(bsm-61135R) at 1:200 overnight at 4°C, followed by conjugation to the bs-0295G-HRP and DAB (C-0010) staining.
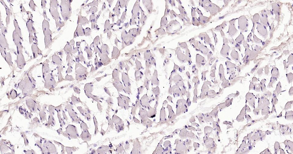
(Negative control)Paraformaldehyde-fixed, paraffin embedded Human Skeletal muscle; Antigen retrieval by boiling in sodium citrate buffer (pH6.0) for 15 min; Antibody incubation with CD11c Monoclonal Antibody, Unconjugated(bsm-61135R) at 1:200 overnight at 4°C, followed by conjugation to the bs-0295G-HRP and DAB (C-0010) staining.
Paraformaldehyde-fixed, paraffin embedded Human Tonsil. Merged staining of anti-CD8A (bsm-34251M; 1:200; pink) anti-CD4 (bsm-52469R; 1:200; light blue) anti-CD3E (bsm-60002R; 1:200; green) anti-CD68 (bsm-60634R; 1:200; white) anti-CD11c (bsm-61135R; 1:200; orange) and anti-CD20 (bsm-63327R; 1:200; yellow) DAPI (dark blue) was used as a nuclear counter stain.
Paraformaldehyde-fixed, paraffin embedded Human Tonsil; Antigen retrieval by boiling in sodium citrate buffer (pH6.0) for 15 min; The section was incubated with CD11c Monoclonal Antibody, Unconjugated (bsm-61135R) at 1:200 overnight at 4°C. Followed by conjugated Goat Anti-Rabbit IgG antibody (Rose pink, bs-0295G-BF647), DAPI (blue, C02-04002) was used to stain the cell nuclei.
The THP-1(treated with 100 ng/mL PMA for 24 h) (H) cells were incubated in 5%BSA to block non-specific protein-protein interactions (30 min at r.t.),followed by secondary antibody incubation for 40 min at room temperature.Primary Antibody (green):Rabbit Anti-CD11c antibody (bsm-61135R,1:100); Isotype Control (orange): Rabbit IgG (bs-0295P). Blank control (black): PBS. Acquisition of 20,000 events was performed.
版权所有 2004-2026 www.bioss.com.cn 北京博奥森生物技术有限公司
通过国际质量管理体系ISO 9001:2015 GB/T 19001-2016    证书编号: 00124Q34771R2M/1100
通过国际医疗器械-质量管理体系ISO 13485:2016 GB/T 42061-2022     证书编号: CQC24QY20047R0M/1100
京ICP备05066980号-1         京公网安备110107000727号