扫码关注公众号           扫码咨询技术支持           扫码咨询技术服务
  
客服热线:400-901-9800  客服QQ:4009019800  技术答疑  技术支持  质量反馈  人才招聘  关于我们  联系我们
产品中心-北京博奥森生物技术有限公司
首页 > 产品中心 > 一抗 > 产品信息
Adiponectin Recombinant Rabbit mAb (bsm-61125R)  
订购热线:400-901-9800
订购邮箱:sales@bioss.com.cn
订购QQ:  400-901-9800
技术支持:techsupport@bioss.com.cn
25ul/800.00元
50ul/1400.00元
100ul/2500.00元
大包装/询价

产品编号 bsm-61125R
英文名称 Adiponectin Recombinant Rabbit mAb
中文名称 脂联素重组兔单抗
别    名 ACDC; ACRP30; ADIPQTL1; ADPN; APM-1; APM1; GBP28; 30kDa; APN; Ad; Adid; adipo; ADIPO_HUMAN; ADIPOQ; 30 kDa adipocyte complement-related protein; Adipocyte complement-related 30 kDa protein (ACRP30); Adipocyte, C1q and collagen domain-containing protein; Adipose most abundant gene transcript 1 protein (apM-1); Gelatin-binding protein; ADIPO_MOUSE; Adipocyte-specific protein AdipoQ;   
抗体来源 Rabbit
克隆类型 Recombinant
克 隆 号 10B12
交叉反应 Human
产品应用 WB=1:500-2000,IHC-P=1:100-200,IHC-F=1:100-200,IF=1:100-200
not yet tested in other applications.
optimal dilutions/concentrations should be determined by the end user.
理论分子量 26 kDa
检测分子量 27
性    状 Liquid
免 疫 原 A synthesized peptide derived from human Adiponectin: 57-100 
亚    型 IgG
纯化方法 affinity purified by Protein A
缓 冲 液 10mM phosphate buffered saline(pH 7.4) with 150mM sodium chloride, 0.05% BSA, 0.02% Proclin300 and 50% glycerol.
保存条件 Store at 4℃ for short term. Store at -20℃ for long term. Avoid repeated freeze/thaw cycles.
注意事项 This product as supplied is intended for research use only, not for use in human, therapeutic or diagnostic applications.
PubMed PubMed
产品介绍 Important adipokine involved in the control of fat metabolism and insulin sensitivity, with direct anti-diabetic, anti-atherogenic and anti-inflammatory activities. Stimulates AMPK phosphorylation and activation in the liver and the skeletal muscle, enhancing glucose utilization and fatty-acid combustion. Antagonizes TNF-alpha by negatively regulating its expression in various tissues such as liver and macrophages, and also by counteracting its effects.

SWISS:
Q15848

Gene ID:
9370

脂联素又被称作Acrp30、apM1、AdipoQ、GBP28。 最初, 脂联素是在人体皮下脂肪组织、血浆和鼠科动物的脂肪细胞中被发现人体内的脂联素由244个氨基酸组成,分子量为27KD。 脂联素影响脂肪和糖类的代谢,还可以降低多种粘附分子(VCAM-1、ICAM-1、选择素-E) 在内皮细胞的表达。并影响着肿瘤坏死因子(TNF)分泌,近年来主要用于糖尿病的研究。 脂联素作为一种胰岛素超敏化激素(An Insulin–sensitizing Hormone),可以增加促进骨骼肌细胞的脂肪酸氧化和糖吸收,明
产品图片
25 ug total protein per lane of various lysates (see on figure) probed with Adiponectin monoclonal antibody, unconjugated (bsm-61125R) at 1:1000 dilution and 4°C overnight incubation. Followed by conjugated secondary antibody incubation at r.t. for 60 min.
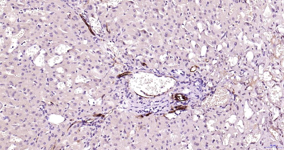
Paraformaldehyde-fixed, paraffin embedded Human liver; Antigen retrieval by boiling in sodium citrate buffer (pH6.0) for 15 min; Antibody incubation with Adiponectin Monoclonal Antibody, Unconjugated (bsm-61125R) at 1:200 overnight at 4°C, followed by conjugation to the bs-0295G-HRP and DAB (C-0010) staining.
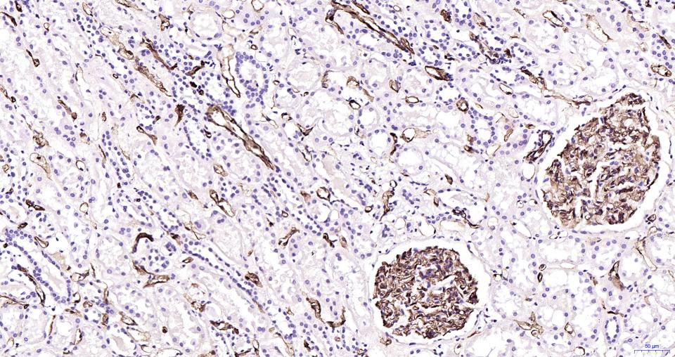
Paraformaldehyde-fixed, paraffin embedded Human kidney; Antigen retrieval by boiling in sodium citrate buffer (pH6.0) for 15 min; Antibody incubation with Adiponectin Monoclonal Antibody, Unconjugated (bsm-61125R) at 1:200 overnight at 4°C, followed by conjugation to the bs-0295G-HRP and DAB (C-0010) staining.
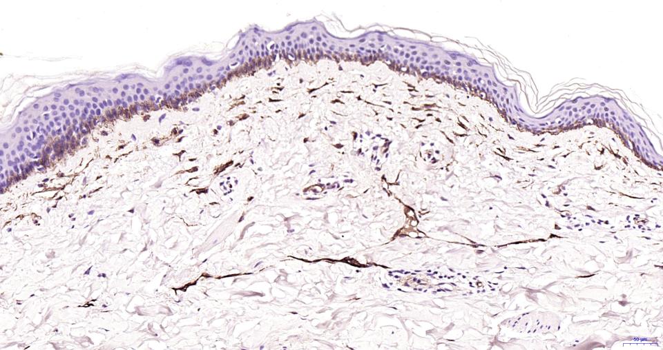
Paraformaldehyde-fixed, paraffin embedded Human skin; Antigen retrieval by boiling in sodium citrate buffer (pH6.0) for 15 min; Antibody incubation with Adiponectin Monoclonal Antibody, Unconjugated (bsm-61125R) at 1:200 overnight at 4°C, followed by conjugation to the bs-0295G-HRP and DAB (C-0010) staining.
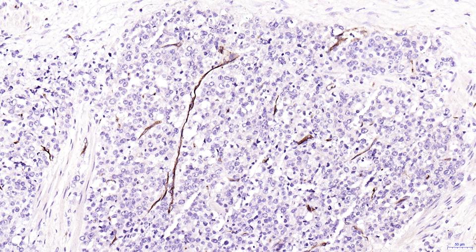
Paraformaldehyde-fixed, paraffin embedded Human Prostate tumors; Antigen retrieval by boiling in sodium citrate buffer (pH6.0) for 15 min; Antibody incubation with Adiponectin Monoclonal Antibody, Unconjugated (bsm-61125R) at 1:200 overnight at 4°C, followed by conjugation to the bs-0295G-HRP and DAB (C-0010) staining.
版权所有 2004-2026 www.bioss.com.cn 北京博奥森生物技术有限公司
通过国际质量管理体系ISO 9001:2015 GB/T 19001-2016    证书编号: 00124Q34771R2M/1100
通过国际医疗器械-质量管理体系ISO 13485:2016 GB/T 42061-2022     证书编号: CQC24QY20047R0M/1100
京ICP备05066980号-1         京公网安备110107000727号