扫码关注公众号           扫码咨询技术支持           扫码咨询技术服务
  
客服热线:400-901-9800  客服QQ:4009019800  技术答疑  技术支持  质量反馈  人才招聘  关于我们  联系我们
产品中心-北京博奥森生物技术有限公司
首页 > 产品中心 > 一抗 > 产品信息
API2/BIRC3 Recombinant Rabbit mAb (bsm-61124R)  
订购热线:400-901-9800
订购邮箱:sales@bioss.com.cn
订购QQ:  400-901-9800
技术支持:techsupport@bioss.com.cn
25ul/800.00元
50ul/1400.00元
100ul/2500.00元
大包装/询价

产品编号 bsm-61124R
英文名称 API2/BIRC3 Recombinant Rabbit mAb
中文名称 凋亡抑制因子2重组兔单抗
别    名 AIP1; API2; CIAP2; HAIP1; HIAP1; IAP-1; MALT2; MIHC; RNF49; c-IAP2; Api1; HIAP2; IAP1; IAP2; MIAP1; MIAP2; MIHB; cIAP-1; cIAP-2; cIAP1; Birc2; BIRC3_HUMAN; BIRC3; Apoptosis inhibitor 2 (API2); Cellular inhibitor of apoptosis 2 (C-IAP2); IAP homolog C; Inhibitor of apoptosis protein 1 (hIAP-1 | hIAP1); RING finger protein 49; RING-type E3 ubiquitin transferase BIRC3; TNFR2-TRAF-signaling complex protein 1; 2.3.2.27; BIRC3_MOUSE; Inhibitor of apoptosis protein 1 (mIAP1);   
抗体来源 Rabbit
克隆类型 Recombinant
克 隆 号 6C19
交叉反应 Human
产品应用 WB=1:500-2000,IHC-P=1:50-200,IHC-F=1:50-200,IF=1:50-200,ICC/IF=1:50-100,IP=1:20-50
not yet tested in other applications.
optimal dilutions/concentrations should be determined by the end user.
理论分子量 68 kDa
检测分子量 68
性    状 Liquid
免 疫 原 A synthesized peptide derived from human BIRC3: 400-450/604 
亚    型 IgG
纯化方法 affinity purified by Protein A
缓 冲 液 10mM phosphate buffered saline(pH 7.4) with 150mM sodium chloride, 0.05% BSA, 0.02% Proclin300 and 50% glycerol.
保存条件 Store at 4℃ for short term. Store at -20℃ for long term. Avoid repeated freeze/thaw cycles.
注意事项 This product as supplied is intended for research use only, not for use in human, therapeutic or diagnostic applications.
PubMed PubMed
产品介绍 Multi-functional protein which regulates not only caspases and apoptosis, but also modulates inflammatory signaling and immunity, mitogenic kinase signaling and cell proliferation, as well as cell invasion and metastasis. Acts as an E3 ubiquitin-protein ligase regulating NF-kappa-B signaling and regulates both canonical and non-canonical NF-kappa-B signaling by acting in opposite directions: acts as a positive regulator of the canonical pathway and suppresses constitutive activation of non-canonical NF-kappa-B signaling.

SWISS:
Q13489

Gene ID:
330

产品图片
25 ug total protein per lane of various lysates (see on figure) probed with API2/BIRC3 monoclonal antibody, unconjugated (bsm-61124R) at 1:1000 dilution and 4°C overnight incubation. Followed by conjugated secondary antibody incubation at r.t. for 60 min.
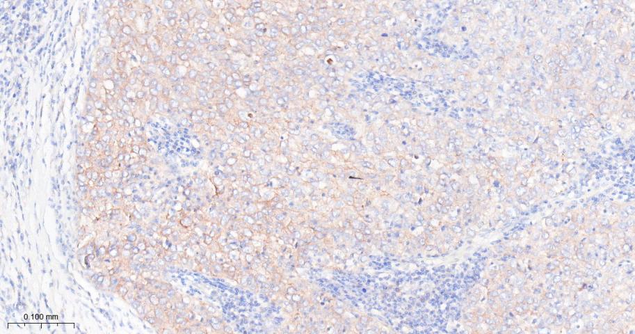
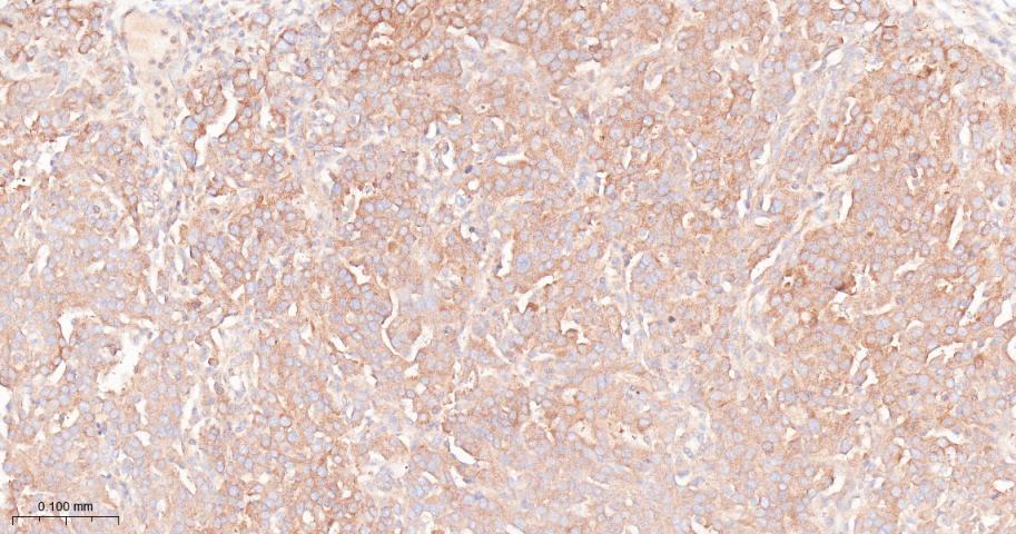
Paraformaldehyde-fixed, paraffin embedded Human Gastric Cancer; Antigen retrieval by boiling in sodium citrate buffer (pH6.0) for 15 min; Antibody incubation with API2/BIRC3 Monoclonal Antibody, Unconjugated(bsm-61124R) at 1:100 overnight at 4°C, followed by conjugation to the bs-0295G-HRP and DAB (C-0010) staining.
Paraformaldehyde-fixed, paraffin embedded Human Breast Cancer; Antigen retrieval by boiling in sodium citrate buffer (pH6.0) for 15 min; Antibody incubation with API2/BIRC3 Monoclonal Antibody, Unconjugated(bsm-61124R) at 1:100 overnight at 4°C, followed by conjugation to the bs-0295G-HRP and DAB (C-0010) staining.
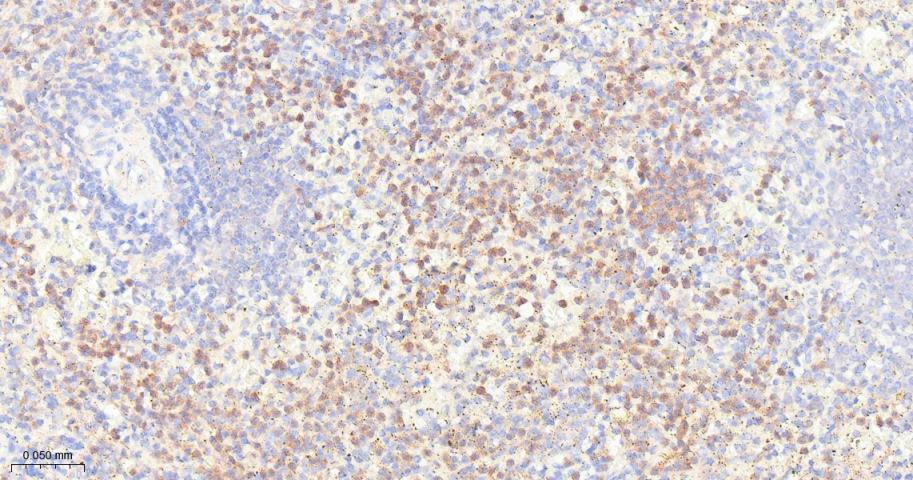
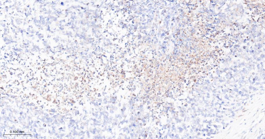
Paraformaldehyde-fixed, paraffin embedded Human Spleen; Antigen retrieval by boiling in sodium citrate buffer (pH6.0) for 15 min; Antibody incubation with API2/BIRC3 Monoclonal Antibody, Unconjugated(bsm-61124R) at 1:100 overnight at 4°C, followed by conjugation to the bs-0295G-HRP and DAB (C-0010) staining.
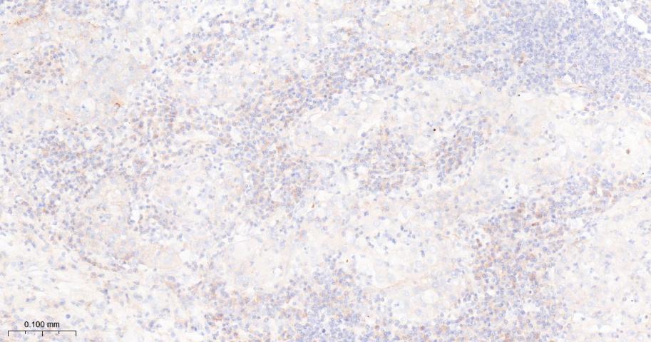
Paraformaldehyde-fixed, paraffin embedded Human Ovarian Cancer; Antigen retrieval by boiling in sodium citrate buffer (pH6.0) for 15 min; Antibody incubation with API2/BIRC3 Monoclonal Antibody, Unconjugated(bsm-61124R) at 1:100 overnight at 4°C, followed by conjugation to the bs-0295G-HRP and DAB (C-0010) staining.
Paraformaldehyde-fixed, paraffin embedded Human Rhabdomyosarcoma; Antigen retrieval by boiling in sodium citrate buffer (pH6.0) for 15 min; Antibody incubation with API2/BIRC3 Monoclonal Antibody, Unconjugated(bsm-61124R) at 1:100 overnight at 4°C, followed by conjugation to the bs-0295G-HRP and DAB (C-0010) staining.
Paraformaldehyde-fixed, paraffin embedded Human Cervical Cancer; Antigen retrieval by boiling in sodium citrate buffer (pH6.0) for 15 min; Antibody incubation with API2/BIRC3 Monoclonal Antibody, Unconjugated(bsm-61124R) at 1:100 overnight at 4°C, followed by conjugation to the bs-0295G-HRP and DAB (C-0010) staining.
版权所有 2004-2026 www.bioss.com.cn 北京博奥森生物技术有限公司
通过国际质量管理体系ISO 9001:2015 GB/T 19001-2016    证书编号: 00124Q34771R2M/1100
通过国际医疗器械-质量管理体系ISO 13485:2016 GB/T 42061-2022     证书编号: CQC24QY20047R0M/1100
京ICP备05066980号-1         京公网安备110107000727号