扫码关注公众号           扫码咨询技术支持           扫码咨询技术服务
  
客服热线:400-901-9800  客服QQ:4009019800  技术答疑  技术支持  质量反馈  人才招聘  关于我们  联系我们
产品中心-北京博奥森生物技术有限公司
首页 > 产品中心 > 一抗 > 产品信息
OLIG2 Recombinant Rabbit mAb (bsm-61115R)  
订购热线:400-901-9800
订购邮箱:sales@bioss.com.cn
订购QQ:  400-901-9800
技术支持:techsupport@bioss.com.cn
25ul/800.00元
50ul/1400.00元
100ul/2500.00元
大包装/询价

产品编号 bsm-61115R
英文名称 OLIG2 Recombinant Rabbit mAb
中文名称 少突胶质细胞转录因子2重组兔单抗
别    名 BHLHB1; OLIGO2; PRKCBP2; RACK17; bHLHe19; Olg-2; RK17; wu:fc64g09; OLIG2_HUMAN; OLIG2; Class B basic helix-loop-helix protein 1 (bHLHb1); Class E basic helix-loop-helix protein 19 (bHLHe19); Protein kinase C-binding protein 2; Protein kinase C-binding protein RACK17; OLIG2_MOUSE;   
抗体来源 Rabbit
克隆类型 Recombinant
克 隆 号 5A15
交叉反应 Human,Mouse,Rat
产品应用 IHC-P=1:50-200,IHC-F=1:50-200,IF=1:50-200,ICC/IF=1:50-200
not yet tested in other applications.
optimal dilutions/concentrations should be determined by the end user.
理论分子量 32 kDa
检测分子量 32
性    状 Liquid
免 疫 原 A synthesized peptide derived from human Oligo2: 240-323/323 
亚    型 IgG
纯化方法 affinity purified by Protein A
缓 冲 液 10mM phosphate buffered saline(pH 7.4) with 150mM sodium chloride, 0.05% BSA, 0.02% Proclin300 and 50% glycerol.
保存条件 Store at 4℃ for short term. Store at -20℃ for long term. Avoid repeated freeze/thaw cycles.
注意事项 This product as supplied is intended for research use only, not for use in human, therapeutic or diagnostic applications.
PubMed PubMed
产品介绍 Required for oligodendrocyte and motor neuron specification in the spinal cord, as well as for the development of somatic motor neurons in the hindbrain. Functions together with ZNF488 to promote oligodendrocyte differentiation. Cooperates with OLIG1 to establish the pMN domain of the embryonic neural tube. Antagonist of V2 interneuron and of NKX2-2-induced V3 interneuron development.

SWISS:
Q13516

Gene ID:
10215

产品图片
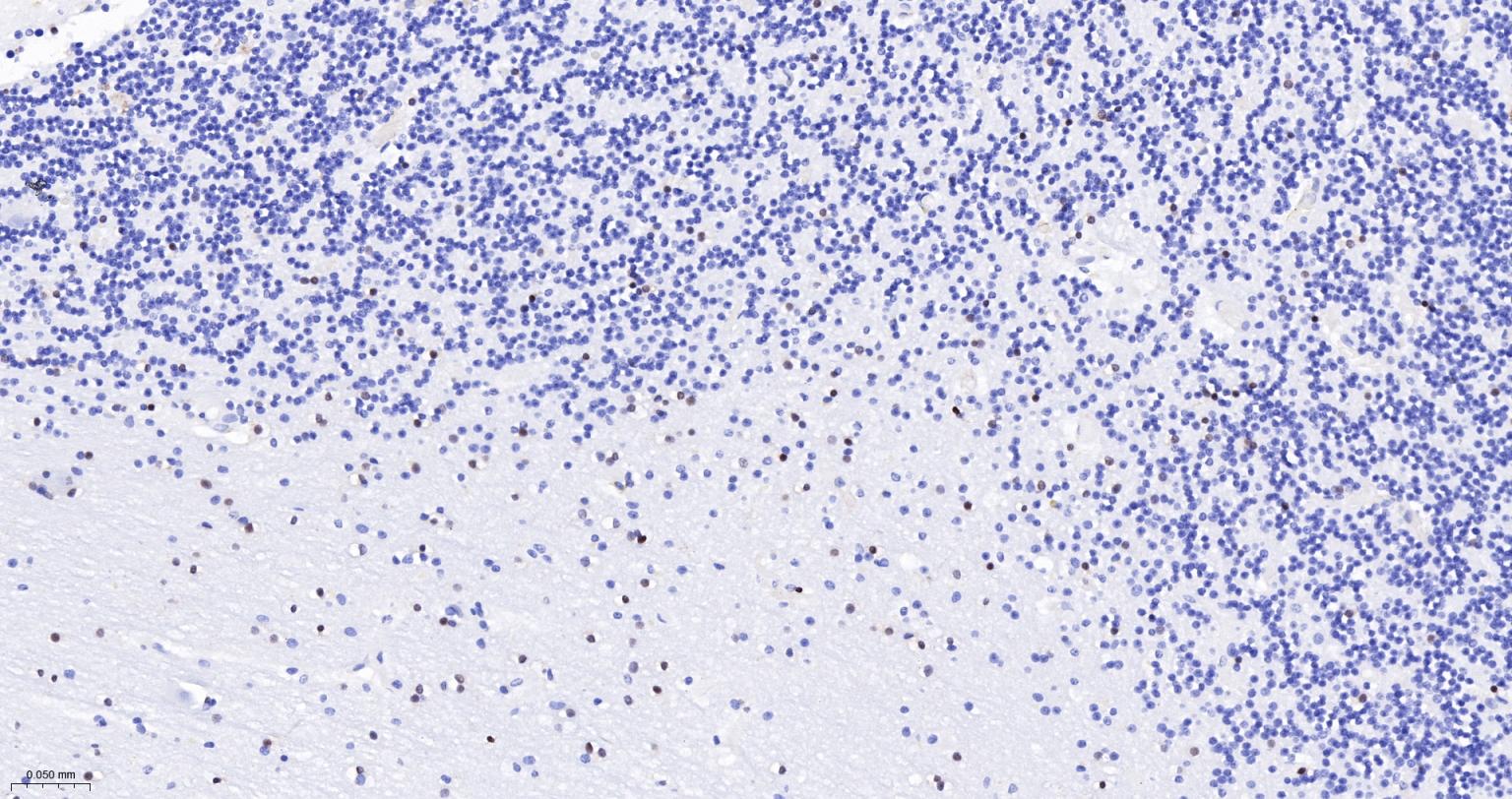
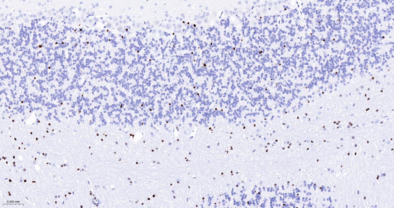
Paraformaldehyde-fixed, paraffin embedded Mouse Cerebellum; Antigen retrieval by boiling in sodium citrate buffer (pH6.0) for 15 min; The section was incubated with OLIG2 Monoclonal Antibody, Unconjugated (bsm-61115R) at 1:200 overnight at 4°C, followed by conjugation to the bs-0295G-HRP and DAB (C-0010) staining.
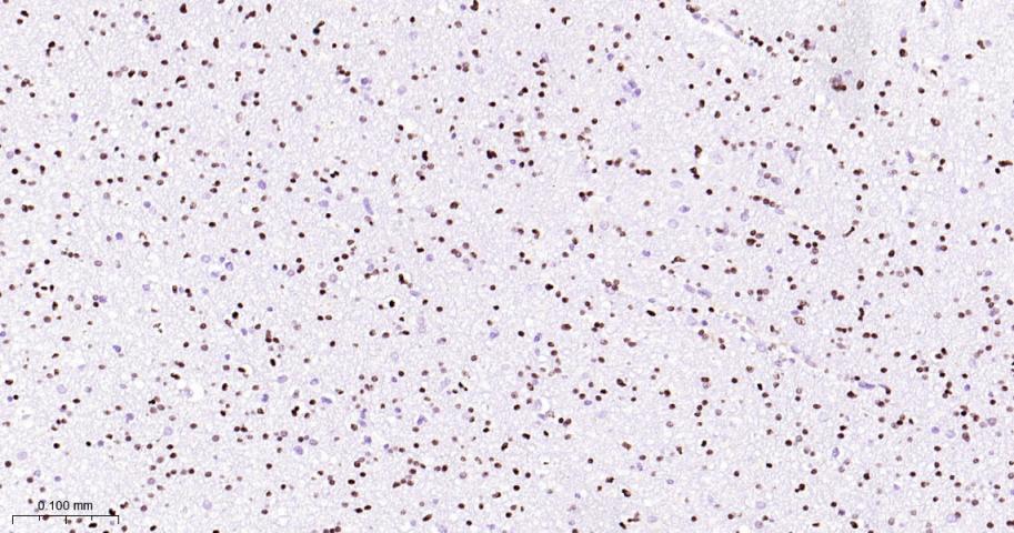
Paraformaldehyde-fixed, paraffin embedded Human Glioma; Antigen retrieval by boiling in sodium citrate buffer (pH6.0) for 15 min; Antibody incubation with OLIG2 Monoclonal Antibody, Unconjugated(bsm-61115R) at 1:200 overnight at 4°C, followed by conjugation to the bs-0295G-HRP and DAB (C-0010) staining.
Paraformaldehyde-fixed, paraffin embedded Rat Cerebellum; Antigen retrieval by boiling in sodium citrate buffer (pH6.0) for 15 min; Antibody incubation with OLIG2 Monoclonal Antibody, Unconjugated(bsm-61115R) at 1:200 overnight at 4°C, followed by conjugation to the bs-0295G-HRP and DAB (C-0010) staining.
Paraformaldehyde-fixed, paraffin embedded Human Cerebrum; Antigen retrieval by boiling in sodium citrate buffer (pH6.0) for 15 min; Antibody incubation with OLIG2 Monoclonal Antibody, Unconjugated(bsm-61115R) at 1:200 overnight at 4°C, followed by conjugation to the bs-0295G-HRP and DAB (C-0010) staining.
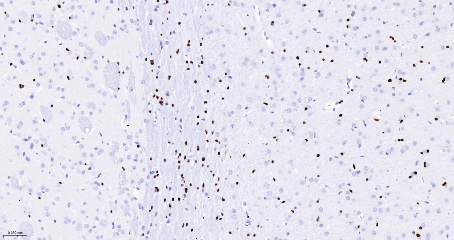
Paraformaldehyde-fixed, paraffin embedded Rat Cerebrum; Antigen retrieval by boiling in sodium citrate buffer (pH6.0) for 15 min; Antibody incubation with OLIG2 Monoclonal Antibody, Unconjugated(bsm-61115R) at 1:200 overnight at 4°C, followed by conjugation to the bs-0295G-HRP and DAB (C-0010) staining.
Paraformaldehyde-fixed, paraffin embedded Mouse Cerebrum; Antigen retrieval by boiling in sodium citrate buffer (pH6.0) for 15 min; Antibody incubation with OLIG2 Monoclonal Antibody, Unconjugated(bsm-61115R) at 1:200 overnight at 4°C, followed by conjugation to the bs-0295G-HRP and DAB (C-0010) staining.
Paraformaldehyde-fixed, paraffin embedded Human Cerebellum; Antigen retrieval by boiling in sodium citrate buffer (pH6.0) for 15 min; The section was incubated with OLIG2 Monoclonal Antibody, Unconjugated (bsm-61115R) at 1:200 overnight at 4°C, followed by conjugation to the bs-0295G-HRP and DAB (C-0010) staining.
(Negative control)Paraformaldehyde-fixed, paraffin embedded Human Colon Cancer; Antigen retrieval by boiling in sodium citrate buffer (pH6.0) for 15 min; The section was incubated with OLIG2 Monoclonal Antibody, Unconjugated (bsm-61115R) at 1:200 overnight at 4°C, followed by conjugation to the bs-0295G-HRP and DAB (C-0010) staining.
Paraformaldehyde-fixed, paraffin embedded Mouse Cerebrum. Merged staining of anti-GFAP (bsm-42001R; 1:200; pink) anti-AIF1/Iba1 (bsm-54132R; 1:200; red) anti-NeuN (bsm-52268R; 1:200; green) anti-MBP (bsm-33932M; 1:200; yellow) and anti-Olig2 (bsm-61115R; 1:200; light blue) . DAPI (dark blue) was used as a nuclear counter stain.
Paraformaldehyde-fixed, paraffin embedded Human Cerebrum. Merged staining of anti-GFAP (bsm-42001R; 1:200; pink) anti-AIF1/Iba1 (bsm-54132R; 1:200; red) anti-NeuN (bsm-52268R; 1:200; green) anti-MBP (bsm-33932M; 1:200; yellow) and anti-Olig2 (bsm-61115R; 1:200; light blue) . DAPI (dark blue) was used as a nuclear counter stain.
Paraformaldehyde-fixed, paraffin embedded Rat Cerebrum. Merged staining of anti-GFAP (bsm-42001R; 1:200; pink) anti-AIF1/Iba1 (bsm-54132R; 1:200; red) anti-NeuN (bsm-52268R; 1:200; green) anti-MBP (bsm-33932M; 1:200; yellow) and anti-Olig2 (bsm-61115R; 1:200; light blue) . DAPI (dark blue) was used as a nuclear counter stain.
Paraformaldehyde-fixed, paraffin embedded Rat Cerebrum; Antigen retrieval by boiling in sodium citrate buffer (pH6.0) for 15 min. The first round ,antibody incubation with MBP Monoclonal Antibody, Unconjugated (bsm-33932M) at 1:200 overnight at 4°C. Followed by conjugated Goat Anti-Mouse IgG antibody (green, bs-0296G-BF488). The second round , antibody incubation with Olig2 Monoclonal Antibody, Unconjugated (bsm-61115R) at 1:200 overnight at 4°C. Followed by conjugated Goat Anti-Rabbit IgG antibody (red, bs-0295G-BF594). DAPI (blue, C02-04002) was used to stain the cell nuclei.
Paraformaldehyde-fixed, paraffin embedded Rat Cerebrum; Antigen retrieval by boiling in sodium citrate buffer (pH6.0) for 15 min. The first round ,antibody incubation with MBP Monoclonal Antibody, Unconjugated (bsm-33932M) at 1:200 overnight at 4°C. Followed by conjugated Goat Anti-Mouse IgG antibody (green, bs-0296G-BF488). The second round , antibody incubation with Olig2 Monoclonal Antibody, Unconjugated (bsm-61115R) at 1:200 overnight at 4°C. Followed by conjugated Goat Anti-Rabbit IgG antibody (red, bs-0295G-BF594). DAPI (blue, C02-04002) was used to stain the cell nuclei.
Paraformaldehyde-fixed, paraffin embedded Mouse Cerebrum; Antigen retrieval by boiling in sodium citrate buffer (pH6.0) for 15 min. The first round ,antibody incubation with MBP Monoclonal Antibody, Unconjugated (bsm-33932M) at 1:200 overnight at 4°C. Followed by conjugated Goat Anti-Mouse IgG antibody (green, bs-0296G-BF488). The second round , antibody incubation with Olig2 Monoclonal Antibody, Unconjugated (bsm-61115R) at 1:200 overnight at 4°C. Followed by conjugated Goat Anti-Rabbit IgG antibody (red, bs-0295G-BF594). DAPI (blue, C02-04002) was used to stain the cell nuclei.
Paraformaldehyde-fixed, paraffin embedded Mouse Cerebrum; Antigen retrieval by boiling in sodium citrate buffer (pH6.0) for 15 min. The first round ,antibody incubation with MBP Monoclonal Antibody, Unconjugated (bsm-33932M) at 1:200 overnight at 4°C. Followed by conjugated Goat Anti-Mouse IgG antibody (green, bs-0296G-BF488). The second round , antibody incubation with Olig2 Monoclonal Antibody, Unconjugated (bsm-61115R) at 1:200 overnight at 4°C. Followed by conjugated Goat Anti-Rabbit IgG antibody (red, bs-0295G-BF594). DAPI (blue, C02-04002) was used to stain the cell nuclei.
Paraformaldehyde-fixed, paraffin embedded Mouse Cerebrum; Antigen retrieval by boiling in sodium citrate buffer (pH6.0) for 15 min; The section was incubated with OLIG2 Monoclonal Antibody, Unconjugated (bsm-61115R) at 1:200 overnight at 4°C. Followed by conjugated Goat Anti-Rabbit IgG antibody (Rose pink, bs-0295G-BF647), DAPI (blue, C02-04002) was used to stain the cell nuclei.
Paraformaldehyde-fixed, paraffin embedded Human Cerebrum; Antigen retrieval by boiling in sodium citrate buffer (pH6.0) for 15 min; The section was incubated with OLIG2 Monoclonal Antibody, Unconjugated (bsm-61115R) at 1:200 overnight at 4°C. Followed by conjugated Goat Anti-Rabbit IgG antibody (Rose pink, bs-0295G-BF647), DAPI (blue, C02-04002) was used to stain the cell nuclei.
Paraformaldehyde-fixed, paraffin embedded Rat Cerebrum; Antigen retrieval by boiling in sodium citrate buffer (pH6.0) for 15 min; The section was incubated with OLIG2 Monoclonal Antibody, Unconjugated (bsm-61115R) at 1:200 overnight at 4°C. Followed by conjugated Goat Anti-Rabbit IgG antibody (Rose pink, bs-0295G-BF647), DAPI (blue, C02-04002) was used to stain the cell nuclei.
版权所有 2004-2026 www.bioss.com.cn 北京博奥森生物技术有限公司
通过国际质量管理体系ISO 9001:2015 GB/T 19001-2016    证书编号: 00124Q34771R2M/1100
通过国际医疗器械-质量管理体系ISO 13485:2016 GB/T 42061-2022     证书编号: CQC24QY20047R0M/1100
京ICP备05066980号-1         京公网安备110107000727号