扫码关注公众号           扫码咨询技术支持           扫码咨询技术服务
  
客服热线:400-901-9800  客服QQ:4009019800  技术答疑  技术支持  质量反馈  人才招聘  关于我们  联系我们
产品中心-北京博奥森生物技术有限公司
首页 > 产品中心 > 一抗 > 产品信息
phospho-CREB-1 (Ser133) Recombinant Rabbit mAb (bsm-61105R)  
订购热线:400-901-9800
订购邮箱:sales@bioss.com.cn
订购QQ:  400-901-9800
技术支持:techsupport@bioss.com.cn
25ul/800.00元
50ul/1400.00元
100ul/2500.00元
大包装/询价

产品编号 bsm-61105R
英文名称 phospho-CREB-1 (Ser133) Recombinant Rabbit mAb
中文名称 磷酸化CREB-1重组兔单抗
别    名 CREB1 (phospho-S133); p-CREB1; phospho-CREB1; CREB1 (phospho-Ser133); CREB; CREB-1; 2310001E10Rik; 3526402H21Rik; CREB1_BOVIN; CREB1; cAMP-responsive element-binding protein 1; Cyclic AMP-responsive DNA-binding protein; CREB2; CREB1_HUMAN; CREB1_MOUSE; CREB1_RAT;   
抗体来源 Rabbit
克隆类型 Recombinant
克 隆 号 20B3
交叉反应 Human,Mouse,Rat
产品应用 IHC-P=1:100-500,IHC-F=1:100-500,IF=1:100-500,Flow-Cyt=1:50-100,ICC/IF=1:50-200
not yet tested in other applications.
optimal dilutions/concentrations should be determined by the end user.
理论分子量 35 kDa
检测分子量 46
性    状 Liquid
免 疫 原 A synthesized peptide derived from human CREB1 around the phosphorylation site of S133: RP-pS-YR 
亚    型 IgG
纯化方法 affinity purified by Protein A
缓 冲 液 10mM phosphate buffered saline(pH 7.4) with 150mM sodium chloride, 0.05% BSA, 0.02% Proclin300 and 50% glycerol.
保存条件 Store at 4℃ for short term. Store at -20℃ for long term. Avoid repeated freeze/thaw cycles.
注意事项 This product as supplied is intended for research use only, not for use in human, therapeutic or diagnostic applications.
PubMed PubMed
产品介绍 Phosphorylation-dependent transcription factor that stimulates transcription upon binding to the DNA cAMP response element (CRE), a sequence present in many viral and cellular promoters. Transcription activation is enhanced by the TORC coactivators which act independently of Ser-119 phosphorylation.

SWISS:
P16220

Gene ID:
1385

环腺苷酸应答元件结合蛋白(cAMP responsive element binding protein, CREB)是真核细胞转录因子,属于ATF/CREB家族。参与由cAMP或某些病毒蛋白质所诱导基因转录的调节。 ATF/CREB家族相关蛋白 bs-0517R ATF-1 活化复制因子1 bs-0518R ATF-2 活化复制因子2 bs-0519R ATF-3 活化复制因子3 b
产品图片
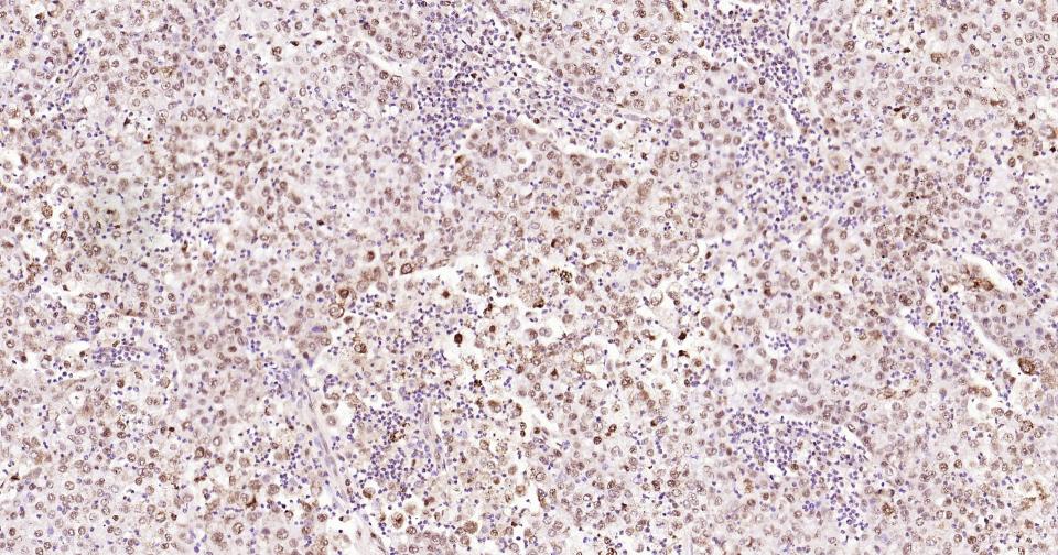
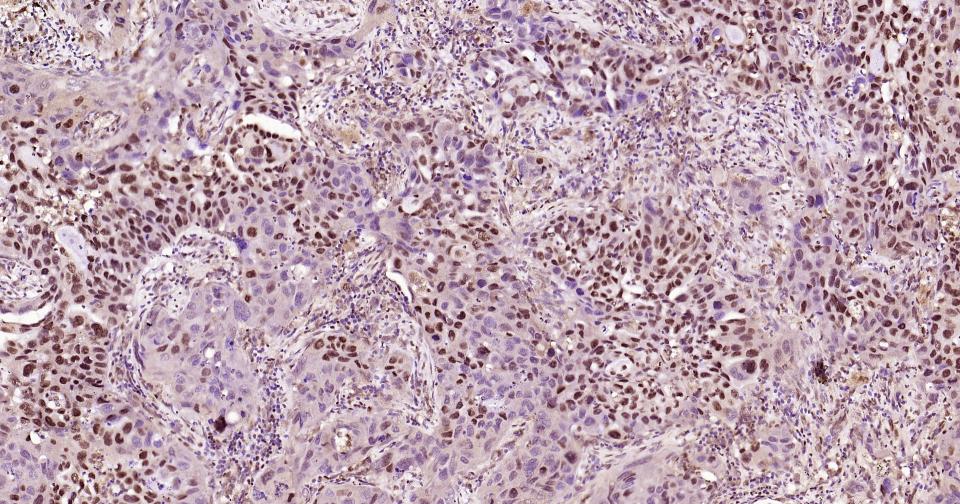
Paraformaldehyde-fixed, paraffin embedded Human Thyroid cancer; Antigen retrieval by boiling in sodium citrate buffer (pH6.0) for 15 min; Antibody incubation with Phospho-CREB-1 (Ser133) Monoclonal Antibody, Unconjugated(bsm-61105R) at 1:200 overnight at 4°C, followed by conjugation to the bs-0295G-HRP and DAB (C-0010) staining and DAB (C-0010) staining.
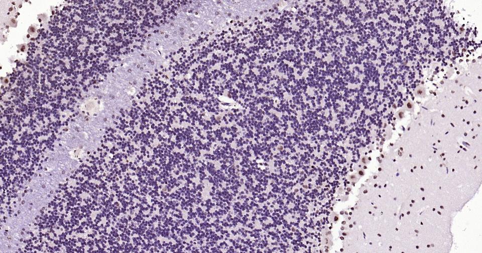
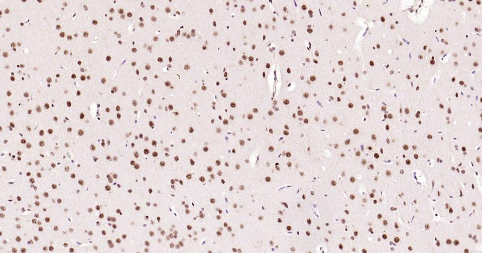
Paraformaldehyde-fixed, paraffin embedded Human Cerebellum; Antigen retrieval by boiling in sodium citrate buffer (pH6.0) for 15 min; Antibody incubation with Phospho-CREB-1 (Ser133) Monoclonal Antibody, Unconjugated(bsm-61105R) at 1:200 overnight at 4°C, followed by conjugation to the bs-0295G-HRP and DAB (C-0010) staining and DAB (C-0010) staining.
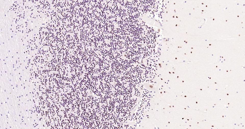
Paraformaldehyde-fixed, paraffin embedded Rat Cerebellum; Antigen retrieval by boiling in sodium citrate buffer (pH6.0) for 15 min; Antibody incubation with Phospho-CREB-1 (Ser133) Monoclonal Antibody, Unconjugated(bsm-61105R) at 1:200 overnight at 4°C, followed by conjugation to the bs-0295G-HRP and DAB (C-0010) staining and DAB (C-0010) staining.
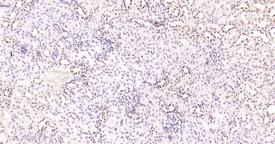
Paraformaldehyde-fixed, paraffin embedded Rat Kidney; Antigen retrieval by boiling in sodium citrate buffer (pH6.0) for 15 min; Antibody incubation with Phospho-CREB-1 (Ser133) Monoclonal Antibody, Unconjugated(bsm-61105R) at 1:200 overnight at 4°C, followed by conjugation to the bs-0295G-HRP and DAB (C-0010) staining and DAB (C-0010) staining.
Paraformaldehyde-fixed, paraffin embedded Rat Cerebrum; Antigen retrieval by boiling in sodium citrate buffer (pH6.0) for 15 min; Antibody incubation with Phospho-CREB-1 (Ser133) Monoclonal Antibody, Unconjugated(bsm-61105R) at 1:200 overnight at 4°C, followed by conjugation to the bs-0295G-HRP and DAB (C-0010) staining and DAB (C-0010) staining.
Paraformaldehyde-fixed, paraffin embedded Mouse Cerebrum; Antigen retrieval by boiling in sodium citrate buffer (pH6.0) for 15 min; Antibody incubation with Phospho-CREB-1 (Ser133) Monoclonal Antibody, Unconjugated(bsm-61105R) at 1:200 overnight at 4°C, followed by conjugation to the bs-0295G-HRP and DAB (C-0010) staining and DAB (C-0010) staining.
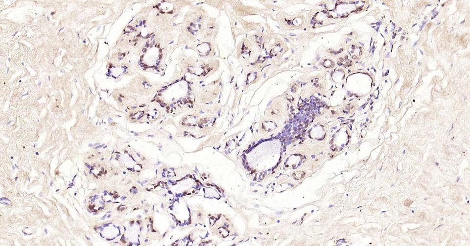
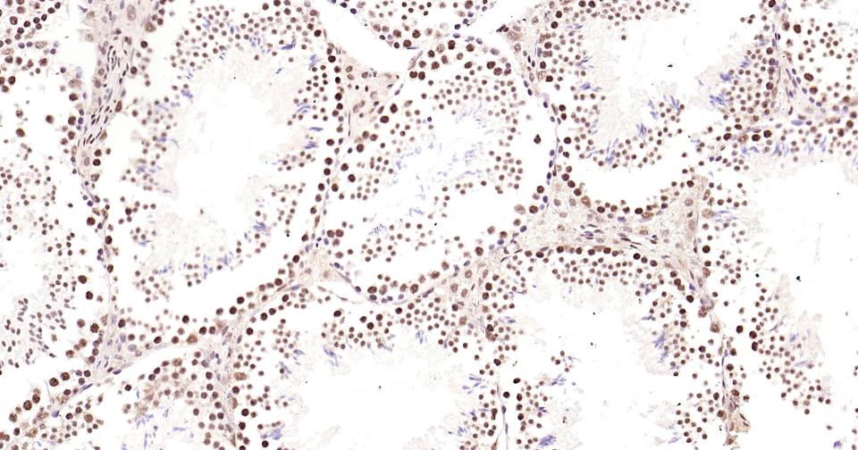
Paraformaldehyde-fixed, paraffin embedded Rat Testicles; Antigen retrieval by boiling in sodium citrate buffer (pH6.0) for 15 min; Antibody incubation with Phospho-CREB-1 (Ser133) Monoclonal Antibody, Unconjugated(bsm-61105R) at 1:200 overnight at 4°C, followed by conjugation to the bs-0295G-HRP and DAB (C-0010) staining and DAB (C-0010) staining.
Paraformaldehyde-fixed, paraffin embedded Mouse Testicles; Antigen retrieval by boiling in sodium citrate buffer (pH6.0) for 15 min; Antibody incubation with Phospho-CREB-1 (Ser133) Monoclonal Antibody, Unconjugated(bsm-61105R) at 1:200 overnight at 4°C, followed by conjugation to the bs-0295G-HRP and DAB (C-0010) staining and DAB (C-0010) staining.
Paraformaldehyde-fixed, paraffin embedded Human Gastric cancer; Antigen retrieval by boiling in sodium citrate buffer (pH6.0) for 15 min; Antibody incubation with Phospho-CREB-1 (Ser133) Monoclonal Antibody, Unconjugated(bsm-61105R) at 1:200 overnight at 4°C, followed by conjugation to the bs-0295G-HRP and DAB (C-0010) staining and DAB (C-0010) staining.
Paraformaldehyde-fixed, paraffin embedded Human Breast cancer; Antigen retrieval by boiling in sodium citrate buffer (pH6.0) for 15 min; Antibody incubation with Phospho-CREB-1 (Ser133) Monoclonal Antibody, Unconjugated(bsm-61105R) at 1:200 overnight at 4°C, followed by conjugation to the bs-0295G-HRP and DAB (C-0010) staining and DAB (C-0010) staining.
Paraformaldehyde-fixed, paraffin embedded Human Lung Cancer; Antigen retrieval by boiling in sodium citrate buffer (pH6.0) for 15 min; Antibody incubation with Phospho-CREB-1 (Ser133) Monoclonal Antibody, Unconjugated(bsm-61105R) at 1:200 overnight at 4°C, followed by conjugation to the bs-0295G-HRP and DAB (C-0010) staining and DAB (C-0010) staining.
版权所有 2004-2026 www.bioss.com.cn 北京博奥森生物技术有限公司
通过国际质量管理体系ISO 9001:2015 GB/T 19001-2016    证书编号: 00124Q34771R2M/1100
通过国际医疗器械-质量管理体系ISO 13485:2016 GB/T 42061-2022     证书编号: CQC24QY20047R0M/1100
京ICP备05066980号-1         京公网安备110107000727号