扫码关注公众号           扫码咨询技术支持           扫码咨询技术服务
  
客服热线:400-901-9800  客服QQ:4009019800  技术答疑  技术支持  质量反馈  人才招聘  关于我们  联系我们
产品中心-北京博奥森生物技术有限公司
首页 > 产品中心 > 一抗 > 产品信息
ALOX15 Recombinant Rabbit mAb (bsm-60930R)  
订购热线:400-901-9800
订购邮箱:sales@bioss.com.cn
订购QQ:  400-901-9800
技术支持:techsupport@bioss.com.cn
25ul/800.00元
50ul/1400.00元
100ul/2500.00元
大包装/询价

产品编号 bsm-60930R
英文名称 ALOX15 Recombinant Rabbit mAb
中文名称 花生四烯酸15脂氧合酶1重组兔单抗
别    名 12-LOX; 15-LOX; 15-LOX-1; LOG15; Alox12; Alox12l; LOX15_HUMAN; ALOX15; 12/15-lipoxygenase; Arachidonate 12-lipoxygenase, leukocyte-type (12-LOX); Arachidonate 15-lipoxygenase (15-LOX | 15-LOX-1); Arachidonate omega-6 lipoxygenase; Hepoxilin A3 synthase Alox15; Linoleate 13S-lipoxygenase; LOX15_RAT; Arachidonate 15-lipoxygenase (15-LOX);   
抗体来源 Rabbit
克隆类型 Recombinant
克 隆 号 11G5
交叉反应 Human
产品应用 IHC-P=1:100-500,IHC-F=1:100-500,IF=1:100-500
not yet tested in other applications.
optimal dilutions/concentrations should be determined by the end user.
理论分子量 73 kDa
浓    度 1mg/ml
免 疫 原 KLH conjugated synthetic peptide derived from human ALOX15 
亚    型 IgG
纯化方法 affinity purified by Protein A
缓 冲 液 0.01M TBS(pH7.4) with 1% BSA, 0.02% Proclin300 and 50% Glycerol.
保存条件 Shipped at 4℃. Store at -20 °C for one year. Avoid repeated freeze/thaw cycles.
注意事项 This product as supplied is intended for research use only, not for use in human, therapeutic or diagnostic applications.
PubMed PubMed
产品介绍 Lipoxygenases are a family of enzymes which dioxygenate unsaturated fatty acids, thus initiating lipoperoxidation of membranes and synthesis of signaling molecules, as well as inducing structural and metabolic changes in the cell. The Lox enzymes in mammals include 12-LO and 15-LO, which are classified with respect to their positional specificity of the deoxygenation of their most common substrate, arachidonic acid. The metabolism of arachidonic acid leads to the generation of biologically active metabolites that have been implicated in cell growth and proliferation, as well as survival and apoptosis. 15-Lipoxygenase (15-LO) acts in physiological membrane remodeling and the pathogenesis of atherosclerosis, inflammation, and carcinogenesis. It is highly regulated and expressed in a tissue- and cell-type-specific fashion. IL-4 and IL-13 play important roles in transactivating the 15-LO gene. Overexpression of 15-LO type 1 in prostate cancer contributes to the cancer progression by regulating IGF-1R expression and activation.

SWISS:
P16050

Gene ID:
246

产品图片
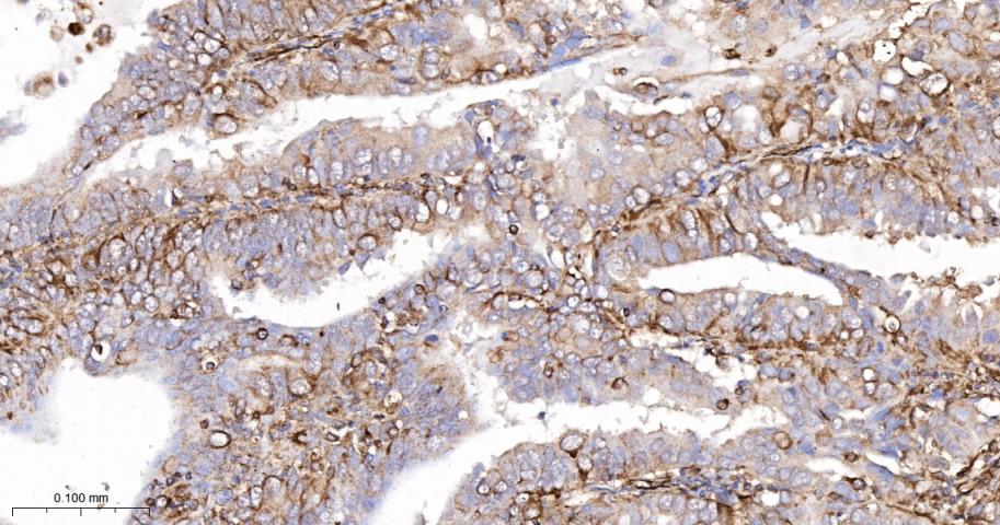
Paraformaldehyde-fixed, paraffin embedded Human Endometrial Cancer; Antigen retrieval by boiling in sodium citrate buffer (pH6.0) for 15 min; The section was incubated with ALOX15 Monoclonal Antibody, Unconjugated (bsm-60930R) at 1:200 overnight at 4°C, followed by conjugation to the bs-0295G-HRP and DAB (C-0010) staining.
Paraformaldehyde-fixed, paraffin embedded Human Endometrial; Antigen retrieval by boiling in sodium citrate buffer (pH6.0) for 15 min; The section was incubated with ALOX15 Monoclonal Antibody, Unconjugated (bsm-60930R) at 1:200 overnight at 4°C, followed by conjugation to the bs-0295G-HRP and DAB (C-0010) staining.
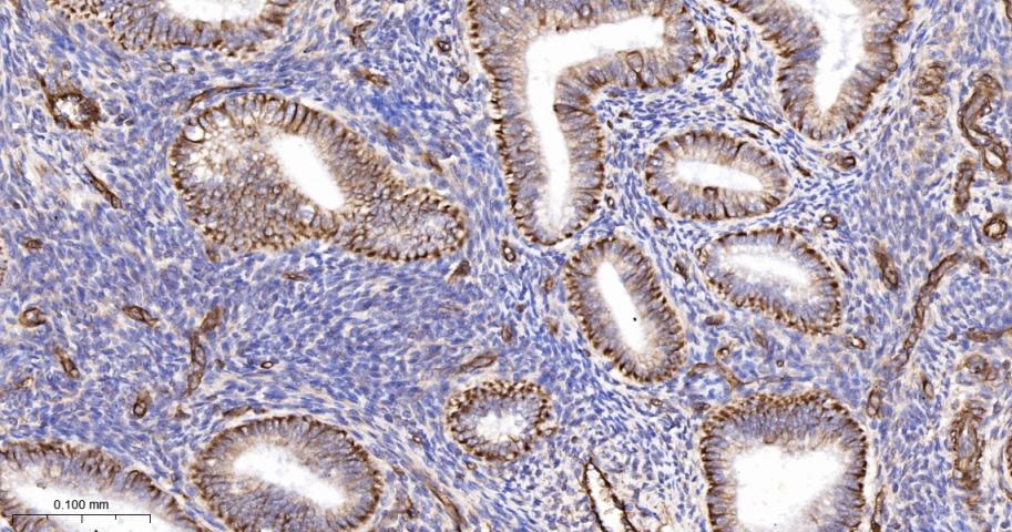
Paraformaldehyde-fixed, paraffin embedded Human Trachea; Antigen retrieval by boiling in sodium citrate buffer (pH6.0) for 15 min; The section was incubated with ALOX15 Monoclonal Antibody, Unconjugated (bsm-60930R) at 1:200 overnight at 4°C, followed by conjugation to the bs-0295G-HRP and DAB (C-0010) staining.
Paraformaldehyde-fixed, paraffin embedded Human Colon; Antigen retrieval by boiling in sodium citrate buffer (pH6.0) for 15 min; The section was incubated with ALOX15 Monoclonal Antibody, Unconjugated (bsm-60930R) at 1:200 overnight at 4°C, followed by conjugation to the bs-0295G-HRP and DAB (C-0010) staining.
版权所有 2004-2026 www.bioss.com.cn 北京博奥森生物技术有限公司
通过国际质量管理体系ISO 9001:2015 GB/T 19001-2016    证书编号: 00124Q34771R2M/1100
通过国际医疗器械-质量管理体系ISO 13485:2016 GB/T 42061-2022     证书编号: CQC24QY20047R0M/1100
京ICP备05066980号-1         京公网安备110107000727号