扫码关注公众号           扫码咨询技术支持           扫码咨询技术服务
  
客服热线:400-901-9800  客服QQ:4009019800  技术答疑  技术支持  质量反馈  人才招聘  关于我们  联系我们
产品中心-北京博奥森生物技术有限公司
首页 > 产品中心 > 试剂盒 > 产品信息
Human CD11b Ready-To-Use IHC Kit (IHC0298H)  
订购热线:400-901-9800
订购邮箱:sales@bioss.com.cn
订购QQ:  400-901-9800
技术支持:techsupport@bioss.com.cn
50T/3200.00元
大包装/询价

产品编号 IHC0298H
英文名称 Human CD11b Ready-To-Use IHC Kit
中文名称 人整合素αM即用型免疫组化试剂盒
别    名 CD11B; CR3A; ITGAM; MAC-1; MAC1A; MO1A; SLEB6; antigen CD11b (p170); Antigen CD11b p170; CD11 antigen like family member B; CD11 antigen-like family member B; CD11b; CD11b/CD18; CD49d; Cell surface glycoprotein MAC-1 subunit alpha; Complement component 3 receptor 3 subunit; Complement Component Receptor 3 Alpha; Complement receptor type 3; alpha subunit; CR 3 alpha chain (CR3A); CR 3 alpha chain; CR-3 alpha chain; CR3; F730045J24Rik; Integrin Alpha M; Integrin alpha M chain; Integrin alpha-M; Integrin beta 2 alpha subunit; Integrin subunit alpha M; integrin; alpha M (complement component 3 receptor 3 subunit); ITAM_HUMAN; Leukocyte adhesion receptor MO1; Ly-40; MAC 1; Mac-1a; MAC1; Mac1; alpha subunit; Macrophage antigen alpha polypeptide; MGC117044; Mo1; alpha subunit; Neutrophil adherence receptor alpha M subunit; Neutrophil adherence receptor  
克 隆 号
适用样品基质 FFPE tissue
保存条件 Please store components at the temperatures indicated on the individual tube labels. The kit is stable for 6 months from the date of receipt.
注意事项 This product as supplied is intended for research use only, not for use in human, therapeutic or diagnostic applications.
产品介绍 CD11b (integrin alpha-M, ITGAM, integrin alpha-X, ITGAX) is a 165 kDa adhesion molecule that associates non-covalently with integrin beta-2 (CD18). The CD11b/CD18 heterodimeric complex is also known as integrin alpha-M beta-2, Mac-1, and CR3 (complement receptor 3). CD11b is expressed on the surface of monocytes/macrophages, granulocytes, activated lymphocytes, a subset of NK cells, a subset of dendritic cells, and microglia in the brain. CD11b/CD18 functions as the receptor for ICAM-1 (CD54), ICAM-2 (CD102), ICAM-4 (CD242), CD14, CD50, CD23, heparin, iC3b, fibrinogen, and Factor X -these adhesions are critical for cell-cell and cell-matrix interactions. CD11b is expressed on 8% of spleen cells, 44% of bone marrow cells, and less than 1% of thymocytes, and is commonly used as a microglial marker in nervous tissue. The expression of CD11b increases during monocyte maturation and expression levels vary on tissue macrophages. Further, peritoneal macrophages are reported to express higher levels of CD11b than splenic macrophages. Diseases associated with CD11b dysfunction include systemic lupus erythematosus 6 and ITGAM-related susceptibility to systemic lupus erythematosus.

SWISS:
P11215

Gene ID:
3684

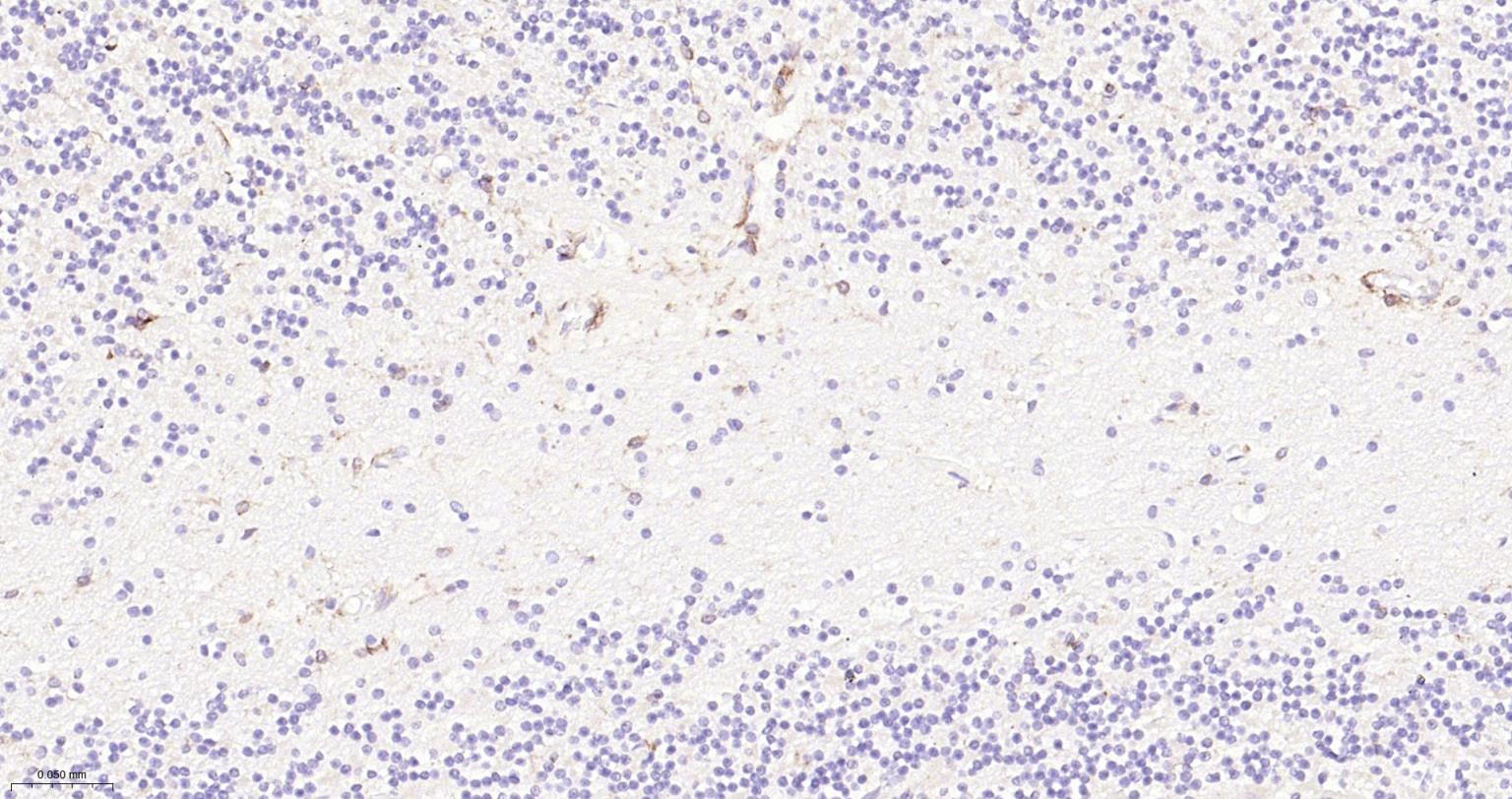
产品图片
Immunohistochemical analysis of paraffin embedded human cerebellum tissue slide using IHC0298H (Human CD11b IHC Kit).
Immunohistochemical analysis of paraffin embedded human spleen tissue slide using IHC0298H (Human CD11b IHC Kit).
Immunohistochemical analysis of paraffin embedded human colon cancer tissue slide using IHC0298H (Human CD11b IHC Kit).
Immunohistochemical analysis of paraffin embedded human tonsil tissue slide using IHC0298H (Human CD11b IHC Kit).
版权所有 2004-2026 www.bioss.com.cn 北京博奥森生物技术有限公司
通过国际质量管理体系ISO 9001:2015 GB/T 19001-2016    证书编号: 00124Q34771R2M/1100
通过国际医疗器械-质量管理体系ISO 13485:2016 GB/T 42061-2022     证书编号: CQC24QY20047R0M/1100
京ICP备05066980号-1         京公网安备110107000727号